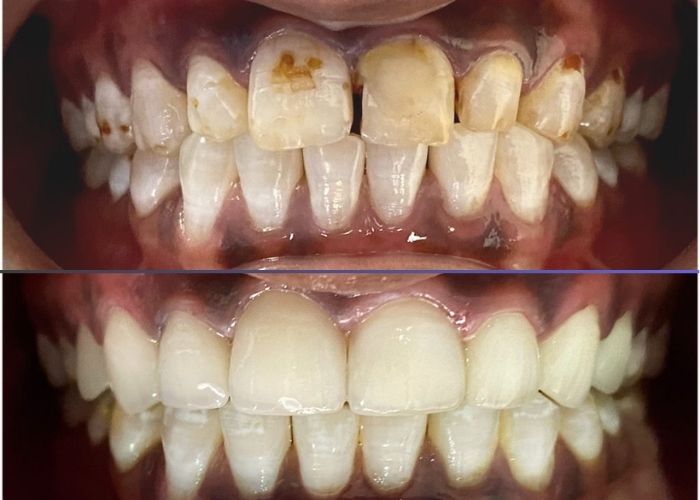
Teeth Whitening
Expert Dental Care
Patient-Centered Approach
Modern Technology & Hygiene
Our Treatments
let us helping you by make an appointment
Don’t wait to take care of your teeth. Experience expert dental care in a warm, friendly environment.
Illuminate Your Smile at Dr. Vamani’s Dental Clinic
If aging, coffee, tea, or lifestyle have dimmed your smile, teeth whitening offers a safe and effective way to brighten your appearance. At Dr. Vamani’s Dental Clinic, we provide both in-office and custom take-home whitening solutions tailored to deliver radiant, confidence-boosting results.

Why Opt for Teeth Whitening?
Instant Confidence Boost: A brighter smile elevates your self-esteem and leaves a memorable first impression.
Youthful Appearance: Removing stains from aging or pigmented diets can make you look healthier and more vibrant.
Fast & Visible: Our in-office bleaching can lighten your teeth by several shades in approximately one visit.
Our Whitening Services
In-Office Professional Whitening
Experience powerful whitening using high-concentration gels typically hydrogen peroxide activated safely under professional supervision for immediate, dramatic results.
Custom Take-Home Kits
Designed for convenience, these kits include personalized trays and lower-concentration whitening gel, allowing you to whiten gradually and comfortably at home.
Safety First, Beautiful Results
We begin every whitening treatment with a comprehensive oral exam, including assessment of enamel health, restorations, and gum condition. A protective barrier is applied to safeguard soft tissues during in-office bleaching.
Research shows that when protocols are followed, hydrogen peroxide and carbamide peroxide whitening is both safe and effective.
What Types of Discoloration Can Be Treated?
Extrinsic stains from food, drinks, and tobacco
Yellowing due to aging or enamel thinning
Whitening is most effective for yellowish tones and may not respond as well to gray or intrinsic stains like tetracycline.
Benefits of Professional Whitening
Quick enhancement of tooth brightness often in under an hour.
Safe, customized treatment with expert guidance
Lasting aesthetic improvement when combined with proper home maintenance.
A cost-effective cosmetic upgrade compared to more invasive options
Book Your Appointment Today
frequently asked question
Best Questions and Answers You for You
Professional whitening uses hydrogen peroxide or carbamide peroxide. Applied to the teeth, these bleaching agents break down stain molecules, significantly lightening enamel.
Results typically last 4 months to a year, depending on your diet and oral habits. Occasional touch-ups may be needed.
Some patients may experience temporary sensitivity or gum irritation post-treatment. These effects are usually mild and short-term.
Candidates with healthy enamel and no active decay are ideal. Whitening is less effective for gray or intrinsic stains and may be unsuitable for those with restoration work.
Avoid staining foods and drinks, practice excellent oral hygiene, and avoid tobacco. Use whitening toothpaste or occasional touch-up kits under your dentist’s advice.